La osteotomía podría eliminar la necesidad de prótesis de rodilla en casos específicos de artrosis

La osteotomía podría reemplazar la necesidad de prótesis de rodilla en pacientes con artrosis y factores genéticos específicos.

1 minuto

fotonoticia_20251029151755_1920

Publicado

1 minuto

El doctor Juan Arnal, destacado especialista en Cirugía Ortopédica y Traumatología en el Hospital Universitario Gregorio Marañón de Madrid, ha resaltado la eficacia de la osteotomía para “retrasar durante décadas o, incluso, evitar la necesidad de una prótesis” de rodilla en pacientes con predisposiciones genéticas a la degeneración articular.

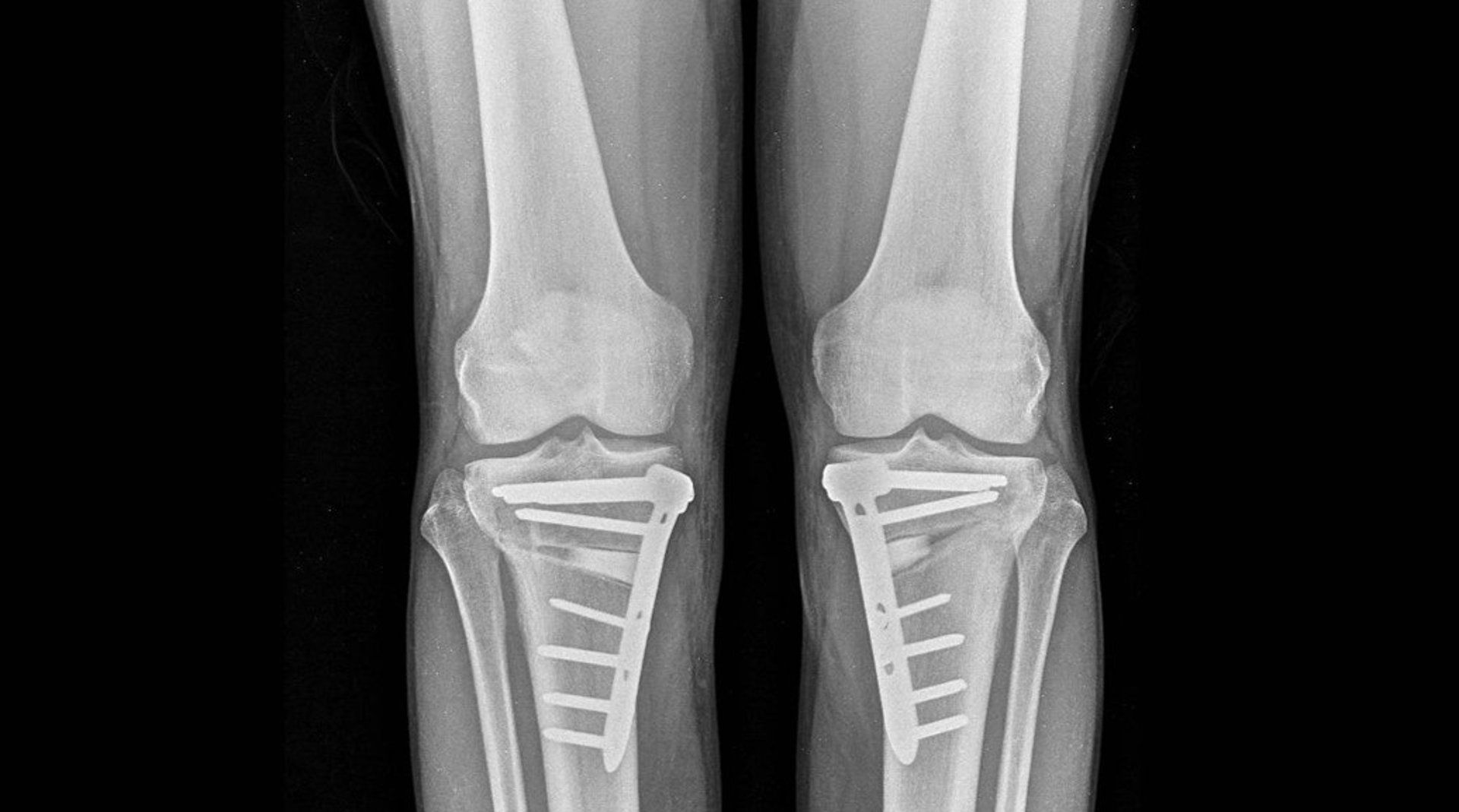
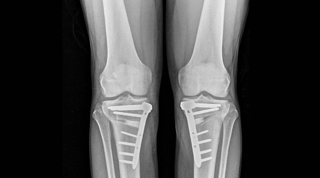
Esta intervención corrige anomalías en las piernas como el ‘genu varo’, que causa una curvatura externa de las rodillas, y el ‘genu valgo’, que provoca una forma en ‘X’ de las piernas, conservando la articulación natural y combatiendo la progresión de la artrosis sin recurrir a implantes protésicos.

Arnal ha indicado que es una opción cada vez más considerada por jóvenes que, conocedores de casos de prótesis en sus familiares, buscan prevenir la artrosis. El perfil ideal para esta cirugía incluye a quienes tienen una deformidad leve o moderada, dolor inicial y carecen de lesiones severas en meniscos o cartílago, además de factores genéticos que predisponen a la degeneración.

AVANCES TECNOLÓGICOS

La técnica de la osteotomía se lleva a cabo mediante un corte preciso en el hueso (tibia o fémur) para ajustar la carga en la pierna, redistribuyendo el peso sobre la articulación y mitigando el dolor. El doctor Arnal ha destacado la transformación de esta técnica debido a avances como la planificación digital tridimensional y nuevos sistemas de fijación e implantes. “Hoy podemos planificar en el ordenador la corrección exacta y, si lo deseamos, imprimir en 3D guías quirúrgicas personalizadas. Además, los nuevos sistemas de fijación permiten que el paciente empiece a apoyar la pierna a las 24 horas”, explicó.

Para Arnal, esta cirugía no solo es eficaz, sino también una de las más gratificantes, viendo cómo los pacientes recuperan movilidad, rendimiento deportivo y confianza estética.