
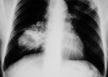
Llamamiento a mejorar la detección temprana del cáncer de pulmón en mujeres
La doctora Dolores Isla, presidenta de ICAPEM y jefa de Oncología Médica en el Hospital Lozano Blesa, ha destacado la necesidad de mejorar la detección temprana del cáncer de pulmón en mujeres. Este llamamiento se realizó durante un evento coorganizado por ICAPEM y la Asociación Española de Afectados por Cáncer...`>