Llamamiento a mejorar la detección temprana del cáncer de pulmón en mujeres

La doctora Dolores Isla aboga por mejorar la detección temprana del cáncer de pulmón en mujeres, destacando la necesidad de un enfoque más analítico.

2 minutos

fotonoticia_20251016142857_1920

fotonoticia_20251016142857_1920

Comenta

Publicado

2 minutos

Más leídas

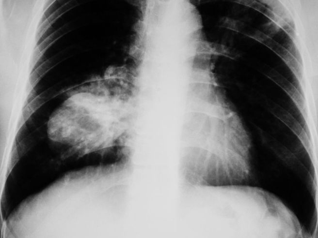
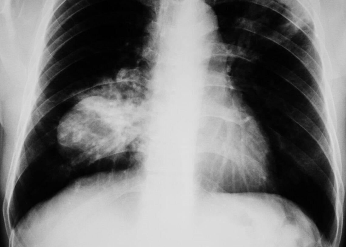
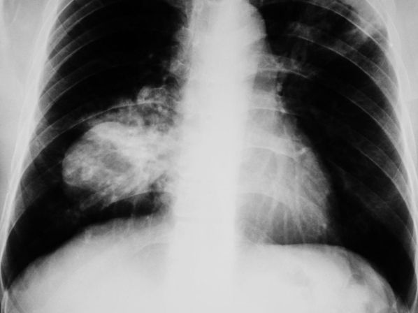
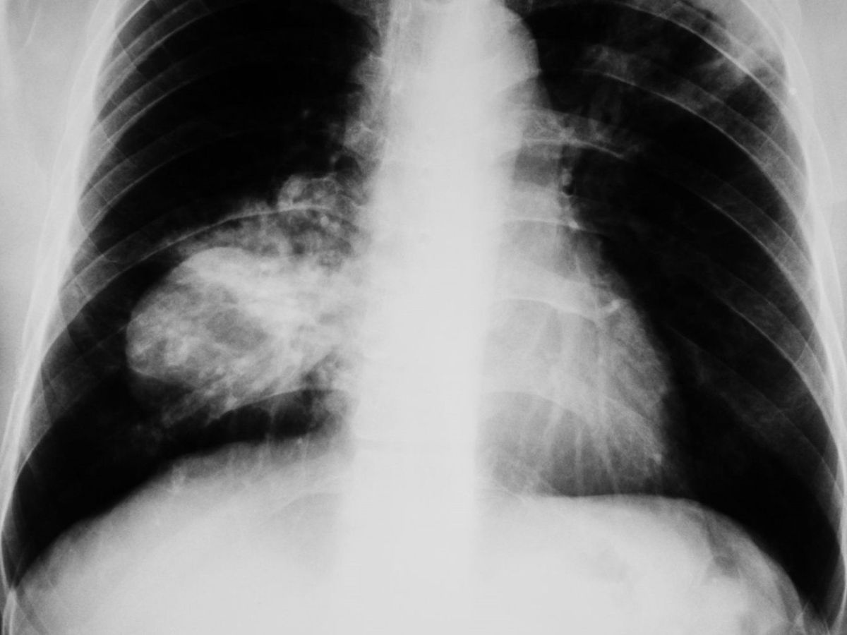
La doctora Dolores Isla, presidenta de ICAPEM y jefa de Oncología Médica en el Hospital Lozano Blesa, ha destacado la necesidad de mejorar la detección temprana del cáncer de pulmón en mujeres. Este llamamiento se realizó durante un evento coorganizado por ICAPEM y la Asociación Española de Afectados por Cáncer de Pulmón (AEACaP), con apoyo de la Fundación PharmaMar.

“El cáncer de pulmón de célula pequeña sigue siendo uno de los grandes retos clínicos. En el caso de las mujeres, su abordaje requiere un análisis más profundo, ya que pueden existir diferencias en sus factores de riesgo, características clínicas, evolución y respuesta a los tratamientos”, apuntó la doctora Isla.

Con el objetivo de abordar estas diferencias, se ha lanzado el proyecto Clarisse, que busca aportar evidencia científica esencial para avanzar hacia un tratamiento más justo y preciso.

El cáncer de pulmón de célula pequeña en mujeres, que representa el 15% de los diagnósticos de este tipo de cáncer, es especialmente agresivo y ha visto un incremento en su incidencia entre mujeres recientemente. Durante el evento, se aprobó un Manifiesto que destaca los principales desafíos para las mujeres con este diagnóstico y sugiere acciones específicas para mejorar su cuidado.

Entre los obstáculos identificados están la baja concienciación sobre la salud femenina y la tendencia a atribuir síntomas a factores como el estrés o la menopausia, además del papel tradicional de cuidadora que muchas mujeres adoptan, postergando la atención médica necesaria.

El Manifiesto también critica la burocracia en los sistemas de salud y la falta de médicos de atención primaria especializados en detección temprana. Resalta la importancia de campañas de concienciación, la reducción de tiempos de diagnóstico y la implementación de enfoques multidisciplinares ágiles.

“Desde las asociaciones de pacientes, y en este caso AEACaP, tratamos de ofrecer apoyo emocional y disponemos de grupos de ayuda mutua y servicios, pero también trabajamos para que todas las personas diagnosticadas de cáncer de pulmón conozcan sus derechos y el abanico de opciones terapéuticas disponible. En este sentido, dado que hemos constatado un aumento del cáncer de pulmón de célula pequeña en mujeres, centramos una parte importante de nuestro esfuerzo en brindarles asistencia, información y apoyo para que no se sientan solas ante la enfermedad”, afirmó Bernard Gaspar, presidente de AEACaP.

El documento también enfoca en la prevención, destacando los desafíos que representan el tabaquismo y el vapeo. Se ha pedido un cambio en la percepción social del tabaco, incremento de impuestos, restricciones de venta y campañas dirigidas a los jóvenes.

En términos de investigación, equidad y políticas públicas, el Manifiesto señala la infrarrepresentación femenina en los ensayos clínicos, lo que provoca un sesgo en los resultados y dificulta la obtención de datos confiables sobre la eficacia y toxicidad de los tratamientos en mujeres. Además, alerta sobre las desigualdades en el acceso a diagnósticos y tratamientos innovadores.